Enterate de todo lo relacionado a nuestros servicios

Blog

Dispositivo de avance mandibular ZER DentoFacial Medellín 1536 1024 Verozerdent0

Dispositivo de avance mandibular ZER DentoFacial Medellín

Dispositivo de avance mandibular para la apnea del sueño o ronquidos ZER DentoFacial Medellín El dispositivo de avance mandibular es el tratamiento más eficaz para…

Aclaramiento dental 1679 1120 Verozerdent0

Aclaramiento dental

Aclaramiento Dental El aclaramiento dental es un procedimiento de odontología estética diseñado para aclarar el color de los dientes, eliminando manchas y decoloraciones que pueden…

Microdiseño de Sonrisa 1080 1080 Verozerdent0

Microdiseño de Sonrisa

Microdiseño de Sonrisa El microdiseño de sonrisa es un procedimiento estético dental que ha ganado popularidad en la odontología moderna debido a su capacidad para mejorar la…

Diseño de Sonrisa con Carillas Porcelanas 1066 1600 Verozerdent0

Diseño de Sonrisa con Carillas Porcelanas

Diseño de Sonrisa con Carillas Porcelanas Uno de los tratamientos más solicitados por nuestros pacientes es el Diseño de sonrisa. Es un procedimiento estético dental que tiene…

Ortodoncia Compleja 2560 1626 Verozerdent0

Ortodoncia Compleja

Ortodoncia Compleja Se usa en aquellos pacientes que tienen problemas dentales y de mordida más severos y por tanto, requieren un enfoque más intensivo y…

Ortodoncia Quirúrgica 2560 2560 Verozerdent0

Ortodoncia Quirúrgica

Ortodoncia Quirúrgica La ortodoncia quirúrgica combina tratamiento ortodóntico con cirugía ortognática, es decir, va de la mano con el especialista en cirugía maxilofacial, teniendo en…

Ortodoncia Convencional 300 300 Verozerdent0

Ortodoncia Convencional

Ortodoncia Convencional La llamada “Ortodoncia Convencional”, también llamada ortodoncia fija, es el método tradicional para corregir problemas de alineación dental y maloclusión. En esta se…

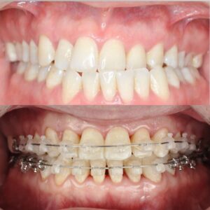
Ortodoncia Estética Autoligado 1707 2560 Verozerdent0

Ortodoncia Estética Autoligado

Ortodoncia Estética Autoligado La llamada “Ortodoncia Estética Autoligado” o “Brackets estéticos de autoligado” son un tipo de ortodoncia fija usada para corregir problemas de alineación…

Placas de Movimiento 1600 1000 Verozerdent0

Placas de Movimiento

Placas de Movimiento Las placas de movimiento son una excelente opción para aquellos pacientes que requieren movimiento de uno o máximo dos dientes, sin necesidad…

Alineadores Dentales 1536 960 Verozerdent0

Alineadores Dentales

Alineadores Dentales Los alineadores dentales son una opción confiable, discreta y funcional en la aparatología ortodóntica: permite el cierre de espacios, se corrige oclusión y…

Frenillectomía 1120 1120 Verozerdent0

Frenillectomía

Frenillectomía La frenillectomía, conocida también como frenectomía, es un procedimiento quirúrgico mínimamente invasivo, que consiste en la resección parcial o total del frenillo, que es…

Exodoncias 2560 1811 Verozerdent0

Exodoncias

Exodoncias La exodoncia, comúnmente conocida como extracción dental, es un procedimiento quirúrgico que implica la remoción de un diente de su alveolo en el hueso maxilar…

Injerto Óseo 1120 1120 Verozerdent0

Injerto Óseo

Injerto Óseo La pérdida de hueso dental, causada por diversos factores, puede tener consecuencias tanto estéticas como funcionales, afectando la estabilidad de los dientes. En ZER,…

Toxina Funcional para Bruxismo 2048 2048 Verozerdent0

Toxina Funcional para Bruxismo

Toxina Funcional para Bruxismo Este es un procedimiento no quirúrgico ampliamente utilizado para el tratamiento del bruxismo, con el fin de relajar los músculos maseteros,…

Full Arch 2048 2048 Verozerdent0

Full Arch

Full Arch ¿Qué es Full Arch? ¡Volver a sonreír con tranquilidad! Eso es el Full Arch. Queremos devolver a nuestros pacientes la funcionalidad y la estética…

Ritidectomía 1080 1350 Verozerdent0

Ritidectomía

  Ritidectomía La ritidectomía, comúnmente conocida como lifting facial, es una cirugía estética que tiene como objetivo rejuvenecer la apariencia del rostro al eliminar el exceso…

Bichectomía 1080 1350 Verozerdent0

Bichectomía

Bichectomía La bichectomía es un procedimiento quirúrgico estético que elimina las bolsas de Bichat, pequeños cúmulos de grasa ubicados en las mejillas. Esta técnica está diseñada para…

Otoplastia 1080 1350 Verozerdent0

Otoplastia

Otoplastia La otoplastia es una cirugía estética que busca corregir la forma, proporción y posición de las orejas. Este procedimiento es ideal para personas que desean mejorar…

Mentoplastia 1080 1350 Verozerdent0

Mentoplastia

Mentoplastia La mentoplastia es una cirugía de mentón que puede ser estética o funcional. La primera, se da por la búsqueda de una armonía facial y equilibrar…

Blefaroplastia 1080 1350 Verozerdent0

Blefaroplastia

Blefaroplastia La blefaroplastia es una cirugía estética y funcional  de los párpados que tiene como objetivo rejuvenecer la apariencia de los ojos al eliminar el exceso de…

Cirugía Ortognática 1080 1350 Verozerdent0

Cirugía Ortognática

Cirugía Ortognática La cirugía ortofacial, también conocida como ortognática, es un procedimiento quirúrgico utilizado para corregir deformidades de los huesos maxilares y mandibulares que causan problemas funcionales y…

Cirugía Maxilofacial 1536 1024 Verozerdent0

Cirugía Maxilofacial

Armonía Facial y Funcionalidad Integral ¿Qué es la “Cirugía Maxilofacial”? La cirugía maxilofacial es una especialidad médica y odontológica que se enfoca en diagnosticar y…

Frenillectomía 1120 1120 Verozerdent0

Frenillectomía

Frenillectomía La frenillectomía, conocida también como frenectomía, es un procedimiento quirúrgico mínimamente invasivo, que consiste en la resección parcial o total del frenillo, que es…

Exodoncias 2560 1811 Verozerdent0

Exodoncias

Exodoncias La exodoncia, comúnmente conocida como extracción dental, es un procedimiento quirúrgico que implica la remoción de un diente de su alveolo en el hueso maxilar…

Injerto Óseo 1120 1120 Verozerdent0

Injerto Óseo

Injerto Óseo La pérdida de hueso dental, causada por diversos factores, puede tener consecuencias tanto estéticas como funcionales, afectando la estabilidad de los dientes. En ZER,…

Toxina Funcional para Bruxismo 2048 2048 Verozerdent0

Toxina Funcional para Bruxismo

Toxina Funcional para Bruxismo Este es un procedimiento no quirúrgico ampliamente utilizado para el tratamiento del bruxismo, con el fin de relajar los músculos maseteros,…

Full Arch 2048 2048 Verozerdent0

Full Arch

Full Arch ¿Qué es Full Arch? ¡Volver a sonreír con tranquilidad! Eso es el Full Arch. Queremos devolver a nuestros pacientes la funcionalidad y la estética…

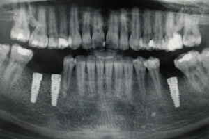
Implantes Dentales 1536 1024 Verozerdent0

Implantes Dentales

Implantes Dentales ¿Qué son los Implantes Dentales? Son una maravillosa opción para reemplazar las raíces de los dientes perdidos o que se deben extraer por…

Cirugía Oral 1000 810 Verozerdent0

Cirugía Oral

¿Que es la Cirugía Oral? La cirugía oral es una especialidad que trata diferentes patologías y problemas de la cavidad bucal, maxilares y tejidos relacionados. En ZER Dentofacial,…

Dispositivo de avance mandibular ZER DentoFacial Medellín 1536 1024 Verozerdent0

Dispositivo de avance mandibular ZER DentoFacial Medellín

Dispositivo de avance mandibular para la apnea del sueño o ronquidos ZER DentoFacial Medellín El dispositivo de avance mandibular es el tratamiento más eficaz para…

Ortodoncia Compleja 2560 1626 Verozerdent0

Ortodoncia Compleja

Ortodoncia Compleja Se usa en aquellos pacientes que tienen problemas dentales y de mordida más severos y por tanto, requieren un enfoque más intensivo y…

Ortodoncia Quirúrgica 2560 2560 Verozerdent0

Ortodoncia Quirúrgica

Ortodoncia Quirúrgica La ortodoncia quirúrgica combina tratamiento ortodóntico con cirugía ortognática, es decir, va de la mano con el especialista en cirugía maxilofacial, teniendo en…

Ortodoncia Convencional 300 300 Verozerdent0

Ortodoncia Convencional

Ortodoncia Convencional La llamada “Ortodoncia Convencional”, también llamada ortodoncia fija, es el método tradicional para corregir problemas de alineación dental y maloclusión. En esta se…

Ortodoncia Estética Autoligado 1707 2560 Verozerdent0

Ortodoncia Estética Autoligado

Ortodoncia Estética Autoligado La llamada “Ortodoncia Estética Autoligado” o “Brackets estéticos de autoligado” son un tipo de ortodoncia fija usada para corregir problemas de alineación…

Placas de Movimiento 1600 1000 Verozerdent0

Placas de Movimiento

Placas de Movimiento Las placas de movimiento son una excelente opción para aquellos pacientes que requieren movimiento de uno o máximo dos dientes, sin necesidad…

Alineadores Dentales 1536 960 Verozerdent0

Alineadores Dentales

Alineadores Dentales Los alineadores dentales son una opción confiable, discreta y funcional en la aparatología ortodóntica: permite el cierre de espacios, se corrige oclusión y…

Ortodoncia 1536 960 Verozerdent0

Ortodoncia

Con los procedimientos de ZER DentoFacial en la ciudad de Medellín, Colombia mejoramos la salud oral, la funcionalidad de la mordida y la estética facial…

Aclaramiento dental 1679 1120 Verozerdent0

Aclaramiento dental

Aclaramiento Dental El aclaramiento dental es un procedimiento de odontología estética diseñado para aclarar el color de los dientes, eliminando manchas y decoloraciones que pueden…

Microdiseño de Sonrisa 1080 1080 Verozerdent0

Microdiseño de Sonrisa

Microdiseño de Sonrisa El microdiseño de sonrisa es un procedimiento estético dental que ha ganado popularidad en la odontología moderna debido a su capacidad para mejorar la…

Diseño de Sonrisa con Carillas Porcelanas 1066 1600 Verozerdent0

Diseño de Sonrisa con Carillas Porcelanas

Diseño de Sonrisa con Carillas Porcelanas Uno de los tratamientos más solicitados por nuestros pacientes es el Diseño de sonrisa. Es un procedimiento estético dental que tiene…

Rehabilitación Oral 1600 1066 Verozerdent0

Rehabilitación Oral

Rehabilitación Oral / Odontología Especializada Nos especializamos en ofrecer un enfoque integral para la salud dental, abarcando procedimientos avanzados que garantizan tanto la funcionalidad como…