Implantes Dentales
¿Qué son los Implantes Dentales?
Son una maravillosa opción para reemplazar las raíces de los dientes perdidos o que se deben extraer por ciertos motivos.
Consta de unos pernos metálicos hechos en titanio, que parecen tornillos y se ubican en el hueso de la mandíbula con el cual se solucionará la ausencia de dientes.
¿Por qué ponerme Implantes Dentales?
Tener espacios entre los dientes o perder uno o más dientes puede llevar a varios problemas de salud bucal y general. Entre ellos, resaltamos:
- Desplazamiento de los demás dientes: los dientes pueden buscar llenar esos espacios vacíos, lo que puede generar dolor, desalineación o problemas de mordida.
- Maloclusión: una mordida desalineada puede generar problemas de masticación y dolores en la articulación.
- Problemas en la higiene oral: al tener más espacios, se puede dificultar la limpieza (acumulación mayor de comida) y aumentar el riesgo de caries o enfermedades periodontales.
- Infecciones gingivales.
- Reabsorción ósea: la falta de estímulo en las raíces del hueso, pueden llevar a pérdida ósea
- Estética: una nueva sonrisa que originará mayor autoestima.
¿A quién se recomienda?
A personas que han perdido sus dientes por enfermedades periodontales avanzadas; que pierden sus dientes a raíz de un accidente; pacientes en dentición terminal, es decir, pacientes que ya no tienen forma de recuperar su dentadura; o pacientes edéntulos.
Tipos de Implantes Dentales:
- Implantes Convencionales: son los implantes más usados. Tienen una forma pequeña de tornillos, hechos de titanio y se colocan en el hueso alveolar de la mandíbula o el maxilar para producir la fase de osteointegración.
- Implantes Cigomáticos: una alternativa para personas que cuentan con gran déficit de hueso. Este tipo de implantes se coloca en el hueso cigoma, debido a que en este punto, el hueso no se reabsorbe. Su tamaño es alargado, en forma de tornillo y hecho en titanio.
¿Podría necesitar Regeneración Ósea?
Si la mandíbula o el maxilar no es lo suficientemente grueso o es demasiado blando, podrás necesitar un injerto óseo antes de poder someterte a una cirugía de implante dental. Esto se debe a que la potente acción del masticado que realiza la boca ejerce una gran presión sobre el hueso y, si no puede soportar el implante, es probable que la cirugía fracase.
Importancia de la conversación con el paciente.
Conocer las expectativas del paciente y sus experiencias pasadas, es el primer paso de este procedimiento, pues de esto dependerá el éxito del proceso.
Empecemos por la historia clínica: es esencial para este tipo de procedimientos, y es un deber del paciente ser completamente honesto con el especialista, pues permitirá evaluar su estado actual, identificar posibles riesgos o complicaciones, tomar decisiones informadas y permitirá entender la salud del paciente de una manera integral.
Se debe tener en cuenta:
- Medicamentos que toma: incluyendo dosis y duración, pues es necesario identificar posibles efectos secundarios del procedimiento.
- Patologías: conocer las enfermedades o condiciones médicas que el paciente ha tenido o tiene actualmente es vital para entender su estado de salud general y tomar decisiones sobre su tratamiento. Enfermedades crónicas como diabetes, hipertensión, y osteoporosis pueden influir en la cicatrización y la integración de los implantes.
- Alergias: si el paciente tiene alergias a medicamentos, alimentos u otros, para evitar reacciones adversas y garantizar su seguridad.
- Hábitos: aquí se consideran tanto hábitos de salud oral (higiene) como los de su día a día, es decir, si toma licor, si consume droga, si realiza ejercicio, entre otros.
- Experiencias pasadas: entender cómo han respondido los pacientes a tratamientos dentales anteriores, como implantes o injertos óseos, ayuda a predecir el éxito de nuevos procedimientos. Si el paciente se ha sometido a procedimientos bajo anestesia, es importante también tenerlo en cuenta, para conocer cómo ha reaccionado ante ella.
- Es posible que el paciente tenga pérdida ósea y que esto implique un procedimiento adicional; pacientes que han tenido problemas con la integración de implantes en el pasado pueden necesitar enfoques diferentes o materiales específicos.
Como mencionamos al inicio, es fundamental conocer las expectativas del paciente. Es importante que tenga expectativas realistas sobre el resultado del procedimiento, lo que puede ocurrir y lo que se puede lograr con base en su historial clínico. Pacientes con expectativas claras y realistas están más comprometidos con el proceso pre y postoperatorio, incluyendo la higiene oral y las visitas de control al especialista.
Proceso Implantes Dentales:
Lo primero siempre será la valoración con el especialista.
Este tipo de procedimiento vincula dos maravillosas especialidades: cirugía maxilofacial y rehabilitación oral; es por esto, que al momento de la visita inicial, ambas especialidades deben estar allí para revisar el estado inicial y por supuesto, para la elaboración del plan de tratamiento, pues el cirujano será en encargado de poner el implante, mientras que el rehabilitador será el encargado de poner el diente una vez se realice el debido proceso de cicatrización.
Se contemplan dos (2) fases:
FASE 1:
Fase 1.1: Iniciales
- Valoración inicial de los especialistas con el paciente. Preguntas y respuestas tanto del especialista al paciente, como del paciente al especialista.
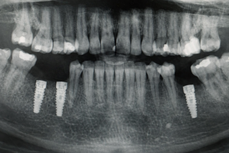
- Estudios: tomografía, radiografía panorámica, análisis de laboratorio en caso de requerir.
- Impresiones dentales
- Registro de mordida
- Planeación
- Fotografías iniciales
Fase 1.2: Procedimiento
- Actualización con el paciente: ¿qué ha pasado desde la última visita?, aclaración de dudas finales.
- Proceso quirúrgico:
- Exodoncias de dientes en caso de ser requerido
- Colocación de implantes dentales.
- Recomendaciones pos quirúrgicas. Cuidados generales, alimenticios e higiene.
FASE 2:
Este proceso se realiza entre 4 a 6 meses posteriores a la fase 1.
- Tomografía o radiografía final para revisión de fase previa. Aquí lo que vamos a revisar es la recuperación, la cicatrización del hueso alrededor de los implantes, estabilidad del mismo, evaluar si hay infecciones que deban ser tratadas o controladas.
- Destape de implante
- Fase protésica: se realiza la prótesis atornillada al implante. con características ideales para perdurar en el tiempo y que sea estéticamente armoniosa. Este proceso no requiere sedación.
- Al igual que con dentadura natural, se deben tener visitas ocasionales al dentista y se requiere tener una buena higiene oral; realizar las limpiezas dentales anualmente.
- Sigue usando la seda dental diariamente.
- Durante la fase 1:
- Se recomienda realizar terapias de frío los primeros tres días
- Evitar el consumo de alcohol durante las dos primeras semanas.
- Evitar el consumo de drogas, ya que generan parafunciones en el músculo de la masticación, haciendo que estos tengan más fuerzas y generan posibles fracturas de la dentadura.
- Evitar el ejercicio los primeros cinco días, ya que se genera vasodilatación, lo que puede originar sangrado.
- Tomar los medicamentos recetados por el especialista.
- Lavado de dientes normal
- Durante la fase 2:
- Evita alimentos duros.
- Lavado de dientes normal
Garantías:
La garantía de este procedimiento dependerá del cuidado del paciente y si ha asistido a las citas preventivas recomendadas, así mismo, solo aplicará si mantiene una adecuada higiene oral.
Adicional, solo se cubre garantía cuando los procedimientos han sido únicamente realizados en nuestro consultorio.
Ventajas:
Son múltiples las ventajas de este procedimiento. Entre ellas, podemos destacar:
- Estabilidad y funcionalidad: se cuenta con implantes sólidos que soportan prótesis fija, lo que proporciona una estabilidad mucho mayor en comparación con dentaduras removibles. Esto conlleva que los pacientes pueden masticar y comer alimentos con mayor eficiencia y comodidad, similar a los dientes naturales.
- Estética: este tipo de prótesis está diseñada para imitar la apariencia de los dientes naturales.
- Personalización: son personalizadas para adaptarse a la estructura facial y las necesidades estéticas del paciente.
- Comodidad: no se deslizan ni se mueven, lo que aumenta la comodidad diaria.
- Facilidad de higiene: el mantenimiento de una corona fija es más sencillo que el de una removible.
- Durabilidad: Están hechas de materiales duraderos y de alta calidad que pueden durar muchos años con el cuidado adecuado. Aunque la inversión inicial puede ser mayor, la durabilidad y los beneficios a largo plazo suelen justificar el costo.
- Confianza y autoestima: Una sonrisa funcional y estética mejora significativamente la autoestima y la calidad de vida del paciente.
Riesgos:
Si bien los riesgos son menores y pueden ser tratados con facilidad, al igual que cualquier cirugía, se pueden presentar ciertas situaciones, como lo son:
- Infección en el sitio del implante.
- Lesión o daño en las estructuras de alrededor, como otros dientes o vasos sanguíneos
- Lesión a los nervios, que puede causar dolor, entumecimiento o cosquilleo en los dientes naturales, las encías, los labios o el mentón
- Pérdida del implante
- Sangrado
- Sinusitis
¿Qué tipo de anestesia se usa?
La elección del tipo de anestesia para la colocación de implantes dentales depende de varios factores, incluyendo la complejidad del procedimiento, la salud general del paciente, su nivel de ansiedad y su preferencia personal. Pueden ser:
- Anestesia local: ideal para procedimientos menos invasivos o cuando se coloca un número reducido de implantes. Recomendada para pacientes con buena salud en general y bajo nivel de ansiedad. Este tipo de anestesia, es la más usada para colocación de implantes convencionales.
- Sedación endovenosa: adecuada para pacientes con ansiedad moderada a severa respecto al procedimiento dental. Es usada cuando el procedimiento requiere más implantes, por tanto tiene mayor duración y es más complejo. Permite al paciente estar en un estado de relajación profunda o semi-inconsciente, sin recordar el procedimiento. Este tipo de anestesia, es la más usada para colocación de implantes cigomáticos.
- Anestesia general: se recomienda a aquellos pacientes cuyo procedimiento será muy complejo y delicado; que sufren de ansiedad extrema o que tienen problemas médicos específicos
Duración del Tratamiento
La duración del tratamiento se contempla en dos fases:
Fase 1: 1 hora
Fase 2: 4 a 6 meses posteriores a la fase 1.
La fase protésica tiene una duración de 5 a 8 días, pues las coronas deben ser extremadamente precisas para que las coronas se ajusten perfectamente a los dientes, encajen bien con la mordida del paciente, realizar ajustes de color en caso que se requiera y hacer pruebas en boca.
Requisitos del Tratamiento
Siempre será fundamental la valoración inicial con el especialista, con el fin de dar un diagnóstico preciso y tener un plan de tratamiento claro. Los estudios requeridos incluyen:
- Radiografía panorámica
- Tomografía
- Estudio fotográfico
- Modelos dentales.
Preguntas Frecuentes sobre Implantes Dentales en Medellín
¿Cuánto cuesta un Implante Dental en Colombia?
El costo puede variar dependiendo del caso y la duración del tratamiento. Los precios pueden variar según la ciudad y la clínica, pero en ZER DentoFacial, en Medellín, nos esforzamos por ofrecer precios competitivos y accesibles para nuestros pacientes. Para conocer los detalles de los costos, programa una consulta aquí.