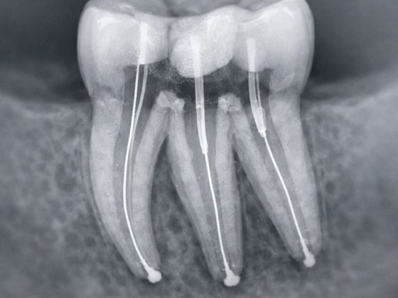
Endodoncia Multiradicular
Endodoncia Biradicular
Endodoncia Uniradicular
Retiro de Poste
Desobturación de Conducto
Perforación de Corona
Blanqueamiento de Diente No Vital
Endodoncia Multiradicular
Tratamiento de conductos en muelas con varias raíces que permite eliminar la infección del interior del diente, aliviar el dolor y conservar la pieza dental, evitando su extracción.
Endodoncia Biradicular
Procedimiento en dientes con dos raíces para limpiar y sellar los conductos, eliminando la infección y devolviendo la función normal al diente.
Endodoncia Uniradicular
Tratamiento en dientes de una sola raíz que elimina la infección interna, quita el dolor y permite conservar el diente por más tiempo.
Retiro de Poste
Procedimiento para retirar postes antiguos del interior del diente cuando es necesario realizar un nuevo tratamiento o mejorar la restauración.
Desobturación de Conducto
Eliminación del material previo del conducto para poder limpiar nuevamente el diente y tratar correctamente la infección.
Perforación de Corona
Apertura controlada de una pequeña entrada en la corona para acceder al conducto sin necesidad de retirarla.
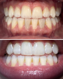
Blanqueamiento de Diente No Vital
Tratamiento estético para aclarar dientes que se han oscurecido por traumatismos, golpes o tratamientos previos, devolviéndoles un color más claro y natural.