Ortodoncia Quirúrgica

Ortodoncia Quirúrgica

Ortodoncia Quirúrgica 2560 2560 Verozerdent0

Ortodoncia Quirúrgica

La ortodoncia quirúrgica combina tratamiento ortodóntico con cirugía ortognática, es decir, va de la mano con el especialista en cirugía maxilofacial, teniendo en cuenta que hay irregularidades que no pueden ser tratadas únicamente con ortodoncia.

Recuerda: este proceso siempre debe estar acompañado por un especialista, donde se tenga una planeación de un ortodoncista y el chequeo constante para verificar que el tratamiento sea el adecuado.

¿Qué es la Ortodoncia Quirúrgica?

Este tipo de ortodoncia está indicada para pacientes que presentan alteraciones esqueléticas mandibulares, maxilares o ambas de alta severidad, y por lo tanto se debe hacer un tratamiento en conjunto con cirugía maxilofacial.

Puede tener dos enfoques, que dependen del aspecto fisiológico y del análisis de las ayudas diagnósticas:

  1. El primero es el enfoque convencional, que se trata de una ortodoncia inicial de alrededor de 12 meses, luego se realiza la cirugía, y posterior a la cirugía, se continúa la ortodoncia, por alrededor de 10 a 12 meses adicionales. Aquí, se realiza el acople final de los dientes.
  2. El segundo enfoque es conocido como SURGERY FIRST donde se inicia el tratamiento de ortodoncia, una semana después se realiza la cirugía y se continúa con la ortodoncia, realizando el acople final de los dientes.

Por algunos aspectos fisiológicos, el segundo enfoque tiene una duración de tratamiento mucho menor, sin embargo no todos los pacientes son aptos para este y todo dependerá de el análisis profundo de las ayudas diagnósticas convencionales.

En cuanto al uso de brackets, dependerán del gusto y del presupuesto del paciente. Se puede usar:

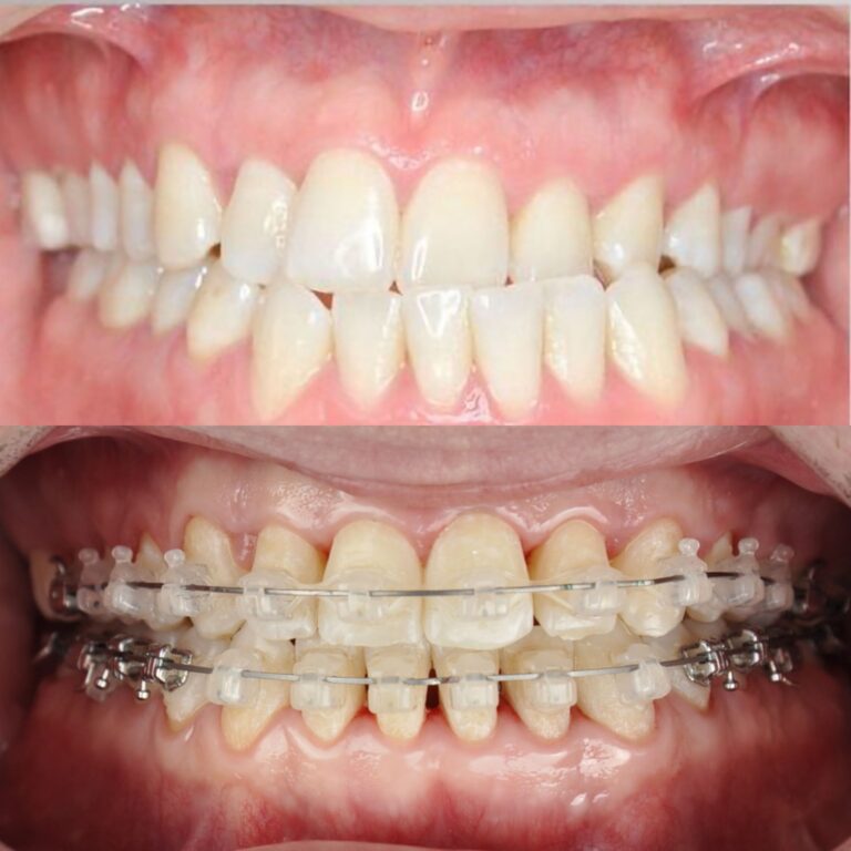
  • Ortodoncia convencional: este tipo de ortodoncia usa brackets metálicos, alambres y elastides.
  • Ortodoncia autoligado: son brackets que a diferencia de los convencionales no requieren elastides. Utilizan además arcos de alambre de última tecnología , que se traducen en un poco menos de dolor y por la forma del bracket, al ser más pequeños, son más cómodos para el paciente.
  • Ortodoncia estética autoligado: Son brackets que a diferencia de los convencionales no requieren elastides y son de color transparente. Utilizan además arcos de alambre de última tecnología , que se traducen en un poco menos de dolor y por la forma del bracket, al ser más pequeños, son más cómodos para el paciente.

Para este tipo de ortodoncia, es fundamental que haya dos especialidades vinculadas: la cirugía maxilofacial y la ortodoncia. El primer paso que se lleva a cabo, es la valoración inicial, luego se inicia el tratamiento ortodóntico, se realiza la cirugía ortognática y se continúa el proceso ortodóntico.

Ventajas de la Ortodoncia Quirúrgica:

  • Mejora funcional: corrige problemas de masticación, habla y respiración.
  • Estética facial: mejora la armonía y simetría del rostro.
  • Estética oral: alineación de los dientes.
  • Calidad de vida: al reposicionar los huesos de la mandíbula y la dentadura, se mejora la función masticatoria y puede aliviar dolores crónicos. La mejora en la función y la estética puede tener un impacto positivo significativo en la autoestima y la confianza del paciente.
  • Eficacia: es un tratamiento definitivo para el paciente, pues se corrigen problemas severos de alineación de la mandíbula y los dientes.

Duración del Tratamiento

La duración del tratamiento dependerá directamente de la complejidad del caso, con un promedio entre 22 a 24 meses.

Requisitos del Tratamiento

Siempre será fundamental la valoración inicial con el especialista acompañado del cirujano maxilofacial, con el fin de dar un diagnóstico preciso y tener un plan de tratamiento claro.

Los estudios requeridos son:

  • Radiografía panorámica
  • Radiografía cefálica lateral
  • Estudio fotográfico.
  • Tomografía médica de cráneo y cara.

Preguntas Frecuentes sobre Ortodoncia Quirúrgica en Medellín

¿Cuánto cuesta la Ortodoncia Quirúrgica en Colombia?

El costo puede variar dependiendo del caso y la duración del tratamiento. Los precios pueden variar según la ciudad y la clínica, pero en ZER DentoFacial, en Medellín, nos esforzamos por ofrecer precios competitivos y accesibles para nuestros pacientes. Para conocer los detalles de los costos, programa una consulta aquí.

¿Cuáles son los cuidados de la Ortodoncia Quirúrgica?

Para la higiene con Ortodoncia quirúrgica, lo ideal es usar cepillos de cerdas suaves y durante el periodo de recuperación de la cirugía, se usan cepillos de bebé. Para saber si este tipo de ortodoncia se aplica para tu caso, programa una consulta aquí.

¿Se deben usar retenedores al finalizar el tratamiento con Ortodoncia Quirúrgica?

Sí, independiente del tipo de ortodoncia usada y el tiempo que haya durado el tratamiento, el uso de retenedores es fundamental para asegurar los resultados en el largo plazo. Los primeros tres meses, se deben usar 24/7 (solo se retirarán para comer); pasados los tres meses, podrán usarse solo en las noches.