Ortodoncia Estética
Ortodoncia Convencional
Ortodoncia quirúrgica
Ortodoncia compleja
Alineadores
Placa de Movimiento
Adelantador forward (dispositivo de avance maxilar)
Ortodoncia Estética
Son brackets que a diferencia de los convencionales no requieren elastides y son de color transparente. Utilizan además arcos de alambre de última tecnología , que se traducen en un poco menos de dolor y por la forma del bracket, al ser más pequeños, son más cómodos para el paciente.
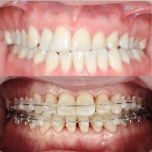
Ortodoncia Convencional
Este tipo de ortodoncia, usa brackets metálicos, alambres y elastides. Es una opción más controlada por el especialista pues permite realizar ajustes precisos y personalizados.
Ortodoncia quirúrgica
La ortodoncia quirúrgica combina tratamiento ortodóntico con cirugía ortognática, es decir, va de la mano con el especialista en cirugía maxilofacial, teniendo en cuenta que hay irregularidades que no pueden ser tratadas únicamente con ortodoncia.
Ortodoncia compleja
Este tipo de ortodoncia es usada para aquellos pacientes que presentan problemas dentales combinados: apiñamiento severo, espacios excesivos entre los dientes, dientes impactados o retenidos, supernumerarios y maloclusiones complejas (mordida abierta, mordida cruzada, mordida profunda) que no requieran necesariamente cirugía.
Alineadores
Este tipo de ortodoncia de alta tecnología utiliza dispositivos transparentes y removibles, como placas de acetato similares a los retenedores plásticos, que se utilizan para corregir la alineación de los dientes en diferentes etapas. Estos alineadores están hechos a medida para cada paciente y se usan en una serie progresiva que va moviendo gradualmente los dientes hasta la posición deseada.
Placa de Movimiento
Las placas de movimiento son una excelente opción para aquellos pacientes que requieren movimiento de uno o máximo dos dientes, sin necesidad de recurrir a la ortodoncia tradicional, y, por tanto, la duración del tratamiento es muy corta.
Adelantador forward (dispositivo de avance maxilar)
Dispositivo intraoral diseñado para adelantar la mandíbula durante el sueño, aumentando el espacio de la vía aérea y mejorando el paso del aire. Está indicado principalmente en pacientes con ronquido y apnea obstructiva del sueño leve a moderada.